Progettare protesi dentali al computer
Negli ultimi anni è aumentata in modo esponenziale l'attenzione degli italiani verso la cura e l'estetica del sorriso. Contemporaneamente è però anche emersa l'esigenza di ridurre al minimo i disagi legati alle procedure chirurgiche e protesiche.
Ognuno di noi desidera tornare rapidamente alla propria occupazione e riprendere al più presto le proprie relazioni sociali. Questo ha incrementato sensibilmente la richiesta di interventi cosiddetti mini-invasivi. Si tratta cioè di interventi poco traumatici, che comportano una riduzione del tempo di esecuzione ma che, soprattutto, riducono notevolmente le sequele e le complicanze post-operatori.
Oggi tutto questo è finalmente possibile grazie allo sviluppo di nuove tecnologie che offrono a tutti l'opportunità di risolvere in poco tempo in maniera efficace, sicura e predicibile problemi funzionali ed estetici che prima richiedevano molte sedute operative e un notevole impegno da parte del paziente. Oltre allo sbiancamento con luce al plasma, è il computer ad avere assunto un ruolo fondamentale nella realizzazione di restauri mini-invasivi come le faccette e le corone "senza metallo". Il computer prima disegna le protesi e successivamente le realizza fresando materiali bio-estetici di ultima generazione come l'allumina e la zirconia. Una corona ed una faccetta in ceramica integrale.
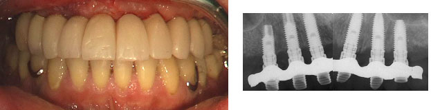
L'applicazione più interessante è rappresentata dall'utilizzo del computer nella progettazione e nella realizzazione degli interventi per inserire degli impianti e applicare subito la protesi, costruita sempre dal computer, prima di effettuare l'intervento. Si tratta di una vera rivoluzione nell'ambito della pianificazione e dell’esecuzione dell'intervento implantare.
Con questa nuova metodica si costruisce al computer una mascherina chirurgica che ci guida nell'inserimento degli impianti e si esegue un intervento minimamente invasivo senza tagliare la gengiva con il bisturi, senza scollarla e senza applicare punti di sutura. Si eseguono semplicemente 4-6 piccole perforazioni circolari attraverso le quali si inseriscono gli impianti sui quali viene immediatamente applicata una protesi fissa.
Come si esegue la procedura?
Il paziente esegue una TAC e i dati, tramite un cd, vengono trasferiti nel computer, che ricostruisce con estrema precisione il mascellare e la protesi da realizzare.

Nella fase di pianificazione gli impianti vengono posizionati al computer tenendo conto dell' osso disponibile e, prerogativa esclusiva di questa procedura, del disegno della futura protesi. Il computer realizza quindi la guida che verrà utilizzata dal laboratorio specializzato per realizzare la protesi. La stessa guida permetterà al dentista di posizionare gli impianti con assoluta precisione, senza dover incidere la gengiva, ma praticando esclusivamente dei piccoli fori. Al termine dell' intervento il dentista può applicare la protesi precostruita.

Vantaggi per il paziente
- Sicurezza: l'impianto sarà inserito nella posizione migliore possibile sfruttando al massimo l'osso disponibile evitando di deformare o, peggio, danneggiare la corticale ossea o ledere strutture anatomiche sensibili come i seni mascellari o il nervo alveolare. Sono contestualmente risolti i problemi di posizionamento 3D degli impianti, avendo la possibilità di ottimizzare il parallelismo degli stessi tra loro o in rapporto ai denti adiacenti;
- riduzione dello stress: l'Intervento è atraumatico, viene eseguito senza incisioni, senza suture, senza gonfiore, in tempi brevi e senza dolore post-operatorio;
- applicazione immediata di una protesi fissa: il paziente riceve la protesi funzionante appena terminata la fase di inserimento degli impianti e può ritornare alla sua normale vita di relazione dopo poche ore.
Vantaggi per il dentista
- Riduzione dello stress: sono le guide, e non l'occhio del chirurgo, che dirigono automaticamente il posizionamento dell' impianto sia in senso orizzontale che, con l'ausilio di particolari stops applicati alle frese di preparazione, in senso verticale;
- riduzione del tempo operatorio: tutto è stato preparato prima di effettuare l'intervento;
- predicibilità: il sistema è estremamente preciso e il suo margine di errore è di pochi decimi di mm che vengono comunque compensati dalle speciali componenti protesiche. Sono stati inseriti più di 2000 impianti con questa procedura ed i risultati sono analoghi a quelli ottenuti con una procedura standard. Le percentuali di successo sono estremamente elevate e nelle varie ricerche apparse sulla letteratura internazionale variano dal 95% al 98%.
Bibliografia
- Dawood A, Marti Marti B, Sauret-Jackson V, Darwood A. 3D printing in dentistry. Br Dent J. 2015 Dec;219(11):521-9. doi: 10.1038/sj.bdj.2015.914. Erratum in: Br Dent J. 2016 Jan 22;220(2):86.
- Kihara H, Sugawara S, Yokota J, Takafuji K, Fukazawa S, Tamada A, Hatakeyama W, Kondo H. Applications of three-dimensional printers in prosthetic dentistry. J Oral Sci. 2021 Jun 29;63(3):212-216.